OUR TRUSTED DENTAL CARE
Gentle, Personalized Care Designed for Every Smile
Meet Dr. Arjun Mehra, general dentist in New Dental
Dr. Arjun Mehra, your reliable dentist in Bangalore, brings extensive expertise to help patients achieve their healthiest and most radiant smiles.
A 2013 graduate of the University of Bangalore’s Doctor of Dental Surgery program, Dr. Arjun Mehra delivers gentle, comprehensive care. His skills span all aspects of general dentistry, including fillings, root canal therapy, extractions, and crowns and bridges. He also provides sedation options for anxious patients to ensure a calm, comfortable visit.
From routine care and cosmetic enhancements to urgent dental needs and surgical procedures, BrightSmile Dental Centre offers the ideal treatment for every patient.
We look forward to building a lasting relationship with you.
Why Patients Trust Us

Integrated Dental Care
By focusing on the oral-systemic connection,we create treatment strategies for lasting, confident smiles.

Rooted in Community
Experience a warm, welcoming atmosphere where you’re treated like family.

On Your Terms
Enjoy hassle-free parking, simple online scheduling, and appointment times that fit your busy life.

Minimally Invasive Solutions
We employ advanced techniques and technology to protect and enhance your natural teeth.
Dental emergency? Relief is just a call away!
We are pleased to welcome new patients to our practice
Take the first step toward your best dental health
Enhance your dental care with expert, personalized attention. Book a consultation with Dr. Arjun Mehra, your trusted general dentist.
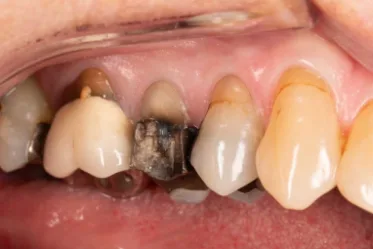
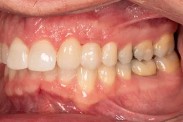
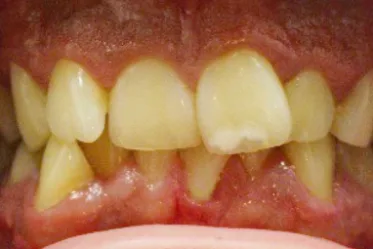
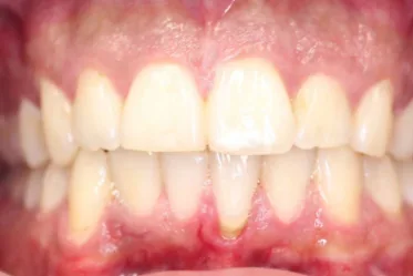
Our patients’ smiles reflect the quality of our care











Specialized treatments crafted for you
Family Dentistry
Protect your dental health with our wide array of dental services.
Cosmetic Dentistry
Enhance your smile with expert cosmetic care—meet us virtually.
Oral Surgery
Delivering advanced surgical care for intricate oral health issues.
Schedule Now
We’re eager to welcome you!

- Akshya Nagar 1st Block 1st Cross,
- Rammurthy nagar, Bangalore-560016
- Monday–Wednesday: 7am3pm
- Thursday–Friday: 10am–6pm
- Saturday–Sunday: Closed